Perché il trucco permanente non è davvero permanente

di Riccardo Marchi

Master di Tricopigmentazione, Piercer, Dottore in Fisioterapia


La scienza spiega perché i pigmenti minerali svaniscono

⚠️ Premessa importante:
Lo studio scientifico di cui parliamo analizza pigmenti minerali tradizionali, ossia quelli composti da ossidi di ferro, biossido di titanio, carbon black e altri elementi inorganici.
Si tratta delle formulazioni più diffuse in passato e tuttora presenti in molte linee classiche per sopracciglia e trucco permanente.

I pigmenti organici moderni, invece — e soprattutto le formule ibride oggi in commercio — hanno comportamenti diversi: penetrano in modo più uniforme, mantengono il colore più a lungo e subiscono minori alterazioni cromatiche.
Questo articolo serve quindi a capire le basi biologiche e chimiche del perché i vecchi pigmenti minerali tendono a svanire nel tempo, e perché le nuove tecnologie rappresentano un’evoluzione.


🔬 Lo studio in breve

Pubblicato nel 2024 su Cosmetics, lo studio “Why Permanent Makeup (PMU) Is Not a Lifetime Application” (Andreou et al.) ha confrontato due tipi di pigmenti:

  • un colorante minerale per trucco permanente (PMU) marrone, usato per sopracciglia;

  • e un inchiostro da tatuaggio nero tradizionale.

Entrambi sono stati applicati sulla pelle di topi SKH-1, che hanno una struttura dermica molto simile a quella umana.
L’obiettivo era misurare la profondità di deposito, la migrazione nel tempo e la stabilità del colore.


⚙️ Il risultato

Dopo 56 giorni, entrambi i pigmenti (PMU e tatuaggio) si trovavano a una profondità simile nel derma, intorno ai 0,6 mm.
La differenza, però, stava nella quantità di pigmento rimasto visibile: il PMU era fortemente ridotto, mentre l’inchiostro da tatuaggio restava compatto e stabile.

👉 In sintesi: la profondità è la stessa, ma la permanenza cambia.
Il motivo? La chimica del pigmento e la risposta biologica della pelle.

🧪 Pigmenti minerali vs organici: cosa cambia davvero

I pigmenti minerali (inorganici) — come gli ossidi di ferro o il biossido di titanio — hanno particelle grandi, opache e pesanti.
Questo li rende coprenti e naturali, ma anche più riconoscibili dal sistema immunitario, che tende a eliminarli col tempo attraverso i macrofagi.

I pigmenti organici, invece, sono molecole carboniose più piccole e traslucide, molto più stabili alla luce e più difficili da degradare.
Per questo i pigmenti ibridi, che combinano le due categorie, sono oggi la scelta più evoluta: uniscono copertura e durata, riducendo le variazioni cromatiche nel tempo.


🧩 Attenzione ai claim commerciali

Molti brand di PMU promuovono linee “iron-oxide free” o “100% organiche”, ma spesso i prodotti contengono una base minerale comunque presente (es. biossido di titanio o carbon black).
Lo studio di Andreou et al. ha infatti utilizzato un pigmento “brow brown” con diversi ossidi di ferro e altri minerali inorganici.

La distinzione tra “organico” e “inorganico” non va confusa con “naturale” o “chimico”:

  • “Organico” significa a base di carbonio (spesso sintetico).

  • “Inorganico” significa minerale, derivato da metalli o ossidi.


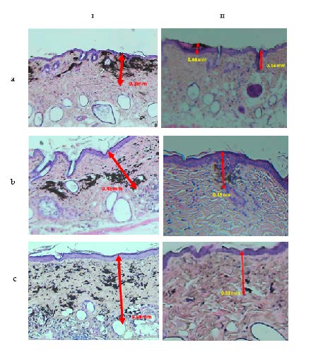
pmu vs tattoo ink penetration

Figura tratta da Andreou et al. (2024). A sinistra: pigmento PMU; a destra: inchiostro da tatuaggio. Le frecce indicano la profondità media di penetrazione nel derma (in mm) nei diversi tempi di osservazione (a: 1 giorno, b: 14 giorni, c: 56 giorni).

🔬 Cosa mostra la microscopia: la differenza tra PMU e tatuaggio

La figura qui vicino, tratta dallo studio di Andreou et al. (2024), è una delle immagini più significative della ricerca. Mostra sezioni di pelle osservate al microscopio in diversi momenti dopo l'applicazione del pigmento.

Le immagini evidenziano come il pigmento del trucco permanente (colonna I) tenda a distribuirsi in modo più superficiale e frammentato, con un progressivo riassorbimento nel tempo. Al contrario, l'inchiostro da tatuaggio (colonna II) appare più profondo, compatto e stabile all’interno del derma.

È interessante notare che, dopo 56 giorni (riga c), entrambi i pigmenti si trovano a circa 0,6 mm di profondità, ma la densità del colore nel PMU è nettamente inferiore. Questo dimostra che la durata del trucco permanente non dipende solo dalla profondità di esecuzione, ma soprattutto dalla chimica del pigmento e dalla sua interazione con la pelle.

🧾 Tabella 1 – Composizione del pigmento PMU

CI Number / Ingrediente Nome chimico Colore Tipo Funzione nel mix
CI77891Titanium DioxideBiancoInorganicoSchiarente, aumenta opacità e copertura
CI77491Iron Oxide Red (Fe₂O₃)RossoInorganicoDà calore al marrone e stabilizza il tono
CI77288Chromium Oxide GreenVerde olivaInorganicoNeutralizza toni caldi eccessivi
CI77499Iron Oxide Black (Fe₃O₄)Nero-grigioInorganicoDona profondità e intensità
CI77492Iron Oxide Yellow (FeOOH)Giallo ocraInorganicoRiscalda i toni del mix
CI77266Carbon BlackNero profondoInorganicoPigmento coprente ad alta stabilità
CI56300Phthalocyanine Green 7Verde freddoOrganico sinteticoRaffredda il mix e previene viraggi
Distilled waterSolventeVeicolo base
Witch hazelEstratto vegetaleAstringente, calmante
AlcoholSolvente secondarioMigliora la dispersione dei pigmenti

🧾 Tabella 2 – Composizione dell’inchiostro da tatuaggio

(Eternal Ink – “Triple Black”)

Ingrediente Nome chimico / CI Colore Tipo Funzione nel mix
CI77266 Carbon Black Nero intenso Inorganico (carbon-based) Pigmento primario, altissima densità
Organic pigments Organico sintetico (non specificati) Possibili traccianti di tono
Distilled water Solvente Base acquosa per dispersione
Witch hazel Estratto vegetale Lenitivo e leggermente antisettico
Alcohol Solvente / antibatterico Mantiene fluido il pigmento

💡 Cosa significa per i professionisti

  1. I pigmenti minerali tendono a svanire più rapidamente, perché vengono riconosciuti ed espulsi più facilmente dal sistema immunitario.

  2. I pigmenti organici restano più a lungo ma sono più difficili da rimuovere.

  3. Le formule ibride moderne offrono il miglior compromesso: stabilità del colore, correzione più semplice e durata naturale.

  4. La conoscenza della composizione pigmentaria è fondamentale per scegliere il prodotto giusto, in base alla zona e al fototipo.


🎯 Conclusione

Il trucco permanente non è eterno – e non deve esserlo.
L’evoluzione dei pigmenti porta oggi a risultati sempre più controllabili, naturali e sicuri, ma la base scientifica resta la stessa:
la pelle è viva, si rinnova e tende sempre a ristabilire il proprio equilibrio.

Capire come e perché i pigmenti si comportano nel tempo è il primo passo per lavorare in modo più consapevole, tecnico e professionale.


Riferimento scientifico:
Andreou, E., Hatziantoniou, S., Rallis, E., & Kefala, V. (2024). Why Permanent Makeup (PMU) Is Not a Lifetime Application. Cosmetics, 11(5), 160. https://doi.org/10.3390/cosmetics11050160

Sopracciglia perfette? Inizia dal Microblading!

Ti spieghiamo tutto in consulenza gratuita: come funziona, quanto dura e se fa per te.

Scrivici ora su WhatsApp

scopri di più...

Contattaci per maggiori informazioni

Siamo sempre operativi e pronti a darti tutte le informazioni che ti servono

Chiamaci adesso o scrivici un messaggio su WhatsApp!
Risponderemo alle tue domende o fisseremo un appuntamento per delle consulenze personalizzate.

Whatsapp

oppure

telefono

Consenso ChatGPT

Per utilizzare l'assistente ChatGPT si prega di accettare termini e condizioni.